繁體
|
简体
首頁
|
服務範圍
|
Transitions 全視線 第八代鏡片
|
Health Care Voucher 醫療劵
首頁
|
服務範圍
|
Transitions 全視線 第八代鏡片
|
Health Care Voucher 醫療劵
(852) 2772 1223
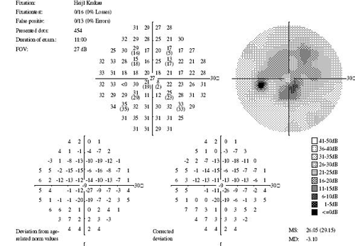
視野檢查
視野檢查是量度視覺闊度及敏感度,檢查視野是否在正常範圍之內,有助於青光眼、視網膜色素病變及其他病症的斷診。而動態視野檢查亦能有效判斷應診者的周邊視野範圍,對職業司機及專業運動員尤其重要。
由於視野缺損有可能是永久性,因此建議定期作視野檢查。如及早發現,將病人轉介至有關專科作進一步護理可減低缺損的程度。